出自:眼科高级职称

光感受器的神经冲动传递顺序为()
A:视锥、视杆细胞→神经节细胞→双极细胞 
B:视锥、视杆细胞→双极细胞→Müller细胞 
C:视锥、视杆细胞→双极细胞→神经节细胞 
D:视锥、视杆细胞→神经节细胞→水平细胞 
E:视锥、视杆细胞→无长突细胞→神经节
患者,女性,23岁,诉右眼视力下降1周。检查右眼视力0.3,结膜混合性充血,角膜后沉着物阳性,房水闪辉弱阳性,瞳孔正常大小,玻璃体前部轻度混浊,黄斑囊样水肿。 上述疾病常见的并发症为( )
A:青光眼
B:白内障
C:视网膜脱离
D:玻璃体出血
E:角膜水肿
患者男,25岁。出现双眼红、异物感7天。发病前2天有游泳史。检查:双眼视力正常,结膜充血明显,右眼上睑结膜有灰白色膜状物,双眼结膜囊内可见黏液分泌物。角膜、前房正常。

第1题,共2个问题
(单选题)对此患者合理的治疗应是()
A:包扎双眼
B:热敷
C:抗生素眼药水频繁点眼
D:肌注抗生素
E:1%阿托品散瞳

第2题,共2个问题
(单选题)最可能的诊断是()
A:慢性卡他性结膜炎
B:急性卡他性结膜炎
C:白喉性结膜炎
D:淋菌性结膜炎
E:过敏性结膜炎
发生夜盲的后天性因素中,不包括()
A:青光眼
B:Stargardt病
C:晶状体混浊
D:虹膜后粘连
E:瞳孔缩小
65岁的渔民在乡卫生所行右眼胬肉切除术后,术中出血多,手术时间长。术后第2天有复视,经活血化瘀后,术后1个月,复视好转,但右眼内转不足,有外斜视。手术中出血多的原因是()
A:手术中伤及较大血管所致
B:手术中伤及内直肌
C:手术操作不娴熟
D:患者出、凝血时间有问题
E:患者情绪紧张
与眼内出血有关的青光眼()
A:前房出血
B:血影细胞性青光眼
C:房角后退性青光眼
D:溶血性青光眼
E:血铁沉着性青光眼
患者,女性,25岁,诉右眼胀痛,检查左眼视力1.0,裂隙灯检查,对该病描述不正确的是()
A:囊肿不断增生,引起青光眼 
B:眼球穿通伤或内眼手术后,结膜或角膜上皮通过伤口进入前房,种植于虹膜 
C:由于虹膜色素上皮过度增生 
D:以外伤植入性最常见 
E:多采用YAG激光术治疗
下列关于知觉型眼震的说法,错误的是()
A:病因是视觉性传出机制的缺陷
B:常见原因有高度屈光不正,先天性青光眼,白内障等
C:常为双侧水平性眼震,呈钟摆型
D:集合可抑制眼震
E:常引起异常头位
角膜组织学上从外到内分为()
A:上皮细胞层-实质层-前弹力层-内皮细胞层-后弹力层
B:上皮细胞层-前弹力层-实质层-内皮细胞层-后弹力层
C:上皮细胞层-实质层-前弹力层-后弹力层-内皮细胞层
D:上皮细胞层-前弹力层-实质层-后弹力层-内皮细胞层
E:前弹力层-上皮细胞层-实质层-内皮细胞层-后弹力层
急诊处理眼外伤首先应注意观察()
A:眼球是否破裂
B:是否出现化脓性眼内炎
C:有无前房积血或玻璃体积血
D:生命体征是否正常,有无重要器官损伤
E:有无眼内异物
(如图)患者女,54岁,右眼反复红痛、流泪、畏光3年,视力减退明显。检查右眼混合性充血,角膜基质水肿严重,内皮皱褶,上皮下水肿,可见数个水泡状隆起,下方可见角膜新生血管,最可能的诊断是()
A:流行性角结膜炎
B:变应性结膜炎
C:大泡性角膜炎
D:蚕食性角膜溃疡
E:带状疱疹性角膜炎

患者男性,45岁,来京务工人员。因头痛、发热2天入院。查体:T:38.8℃,P:86次/分,R:25次/分,BP:120/96mmHg,颈部抵抗力增强。实验室检查:WBC://15×109/L,中性粒细胞:79%。腰穿脑脊液混浊,细胞数1750/μL,蛋白3360mg/L,葡萄糖0.5mmol/L。



第1题,共4个问题
(单选题)为明确病原诊断,应进行的检查项目中不包括下列哪项试验()
A:冷凝集试验
B:脑脊液墨汁染色
C:脑脊液乳胶凝集试验
D:脑脊液培养
E:脑脊液PCR

第2题,共4个问题
(单选题)如脑脊液涂片、染色镜下发现白细胞内成双排列的革兰阳性球菌,初步病原学诊断是()
A:肠球菌
B:肺炎链球菌
C:脑膜炎奈瑟菌
D:无乳链球菌
E:化脓性链球菌

第3题,共4个问题
(单选题)对该菌进行药敏试验,下面哪项是正确的()
A:0.5麦氏单位菌液;5%羊血的Mueller-Hinton琼脂
B:0.5麦氏单位菌液;Mueller-Hinton琼脂;5%CO2
C:0.5麦氏单位菌液;5%羊血的Mueller-Hinton琼脂;5%CO2
D:1.0麦氏单位菌液;5%羊血的Mueller-Hinton琼脂;5%CO2
E:1.0麦氏单位菌液;Mueller-Hinton琼脂;5%CO2

第4题,共4个问题
(单选题)引起该患者感染最不可能的病原是()
A:肺炎链球菌
B:脑膜炎奈瑟菌
C:流感嗜血杆菌
D:隐球菌
E:单纯疱疹病毒
沙眼引起的具有特征性的结膜病理改变是()
A:结膜巨乳头
B:结膜滤泡
C:结膜Arlt线
D:结膜炎性肉芽肿
E:结膜假膜
膜性结膜炎是由哪种病原菌引起的()
A:金黄色葡萄球菌
B:肺炎双球菌
C:白喉杆菌
D:流感嗜血杆菌
E:甲型溶血性链球菌
患者,男性,63岁,双眼无痛性进行性视力下降30年。眼科检查,Vod0.1,Vos0.2,双眼结膜无充血,角膜周边全周变薄,部分基质层消失,新生血管长入,中央角膜尚透明,考虑是()
A:蚕蚀性角膜溃疡
B:单纯疱疹病毒性角膜炎
C:盘状角膜炎
D:匐行性角膜溃疡
E:边缘性角膜变性
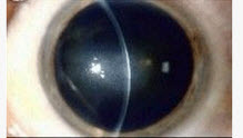
(如图)患者双眼角膜不等大,请问右眼诊断小角膜的标准是直径小于()
A:8mm
B:9mm
C:10mm
D:11mm
E:12mm
眼表面的第一层保护层是()
A:角膜上皮
B:结膜上皮
C:角膜和结膜上皮层
D:泪膜
E:眼睑
虹膜炎时_______可沉积在_______,在新鲜的虹膜后粘连被拉开时,晶状体前表面可遗留下_______。
需急诊行眼内异物取出术的情况包括()
A:伴有眼内感染
B:纯度大于90%的铜异物
C:玻璃体腔内的漂浮异物
D:玻璃异物
E:铁质异物
开放性眼外伤Ⅱ区是指()
A:角膜开放性外伤
B:角巩缘开放性外伤
C:角巩缘至角巩缘后5mm巩膜开放性外伤
D:角巩缘5mm以后的巩膜开放性外伤
E:角巩缘2~5mm处开放性外伤
对Behcet病而言,下列哪项是错误的()
A:口腔溃疡多持续2周以内
B:皮肤改变是多种多样的
C:不发生关节炎
D:可出现附睾炎
E:出现生殖器溃疡
患者,男性,54岁,右眼红痛、视力下降10天。10天前被玉米叶划伤右眼,后出现右眼畏光、流泪、眼红、眼痛,视力进行性下降。眼科检查见:Vod0.05,结膜混合充血(++),角膜中央浸润灶呈牙膏样外观,可见卫星灶,前房积脓约1mm。关于该病人的药物治疗,错误的是()
A:抗真菌眼水频繁滴眼
B:酌情使用全身抗真菌药
C:酌情局部使用糖皮质激素
D:酌情局部使用非甾体类抗炎药
E:酌情使用扩瞳药
以下哪些可以帮助诊断睫状体分离()
A:外伤或手术后持续的低眼压
B:房角镜检查
C:UBM检查
D:前房深度显著变浅
E:以上都是
世界盲人负担大幅度增加的主要原因是()
A:糖尿病患病率增加
B:青光眼患病率增加
C:人口增长和老龄化
D:角膜感染性病变增加
E:其他原因
患者男性,51岁,因急性心肌梗死入院,住院期间发生阿-斯综合征。心电图如图5-22所示,应诊断为()
A:二度Ⅰ型房室传导阻滞
B:窦性停搏
C:三度窦房阻滞
D:二度Ⅱ型窦房阻滞
E:高度房室传导阻滞、心室停搏
大多数婴幼儿泪道阻塞或狭窄可自行痊愈和经过压迫治愈。若保守治疗无效,_________。
视神经疾病的常见病因有()
A:炎症
B:血管性疾病
C:肿瘤
D:代谢性疾病
E:先天畸形
干性年龄相关性黄斑变性主要表现为________和________。
患者男,30岁,左侧额部车祸伤后头痛、视物不见3小时。曾呕吐2次。眼部检查:左眼直接光反应消失,间接光反应存在:右眼眼直接光反应存在,间接光反应消失。首先应做的检查是()
A:双眼正侧位片
B:双眼眶及颅脑CT
C:双眼B超
D:双眼VEP
E:腹部B超
患者,男,23岁,右眼角膜异物剔除术后红痛视力下降加重1天。体格检查VOD0.08,右眼眼睑痉挛、红肿,结膜混合充血、水肿,角膜明显水肿,灰白色混浊,表面可见大量黏液状分泌物,颞侧大片上皮脱失,前房下方可见3mm白色积脓,眼内不清。 试述该病人的治疗。