自考题库
首页
所有科目
自考历年真题
考试分类
关于本站
游客
账号设置
退出登录
注册
登录
出自:放射医学主治医师
关于单纯性骨囊肿,哪项错误()
A:好发于长骨,以肱骨上端最多见
B:边界清楚圆形、卵圆形透亮区
C:病变长轴方向与骨干一致
D:常合并病理骨折
E:常无硬化边
关于膀胱癌的CT表现,
不正确
的是()
A:突入膀胱腔内的结节肿物
B:肿瘤可以是单发,也可是多发
C:肿瘤可以是带蒂生长
D:肿瘤累及黏膜下层和肌层表现为膀胱壁增厚
E:可区别肿瘤限于黏膜内或侵入黏膜下层
关于DSA常规方式减影的叙述,错误的是()
A:为每秒几十帧的速度采集图像
B:在对比剂注入前和注入过程中进行采像和减影
C:得到一系列连续间隔的减影像
D:此方式与间歇X线脉冲同步
E:是一种普通采用的方式
骨髓瘤的X线表现中,描述
不正确
的一项是()
A:好发于颅骨、脊柱、骨盆、肋骨等部位
B:骨质普遍稀疏
C:颅骨呈多发性穿凿状骨质破坏
D:脊柱侵蚀常破坏椎弓
E:肋骨呈膨胀性分房状骨质破坏
下列何种疾病
不属于
肾先天性发育异常( )
A:异位肾
B:孤立肾
C:肾囊肿
D:游走肾
E:融合肾
关于纤维板层肝细胞肝癌(FLC),错误的是()
A:肿瘤染色示乏血供
B:无包膜,出血罕见
C:AFP多正常,多无肝硬化
D:存在局部侵犯并经常发生转移
E:预后好于传统HCC
对原发射线照射的屏蔽防护称为()
A:主防护
B:副防护
C:固有防护
D:个人防护
E:外照防护
鼻咽癌的主要供血动脉是()
A:咽升动脉
B:上颌动脉咽支
C:上颌动脉翼管支
D:腭升动脉
E:舌动脉
蛛网膜下腔出血最常见的原因是()
A:高血压
B:血液病
C:颅内动脉瘤
D:脑动脉粥样硬化
E:脑内静脉畸形
关于青枝骨折的错误说法是()
A:可以看不见骨折线
B:是不完全性骨折
C:好发于儿童
D:局部骨皮质凹陷、隆起
E:可有对位不良
肝脏伸入到门静脉和下腔静脉之间的乳状突属于()
A:肝方叶
B:肝尾叶
C:肝右后叶
D:左肝外叶
E:以上都不是
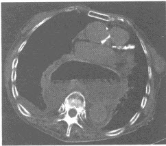
患者,女,83岁,胸部CT图像如下。则最确定的诊断为()
A:食管裂孔疝
B:胸主动脉瘤
C:胸主动脉夹层破裂
D:后纵隔囊实性占位性病变
E:无明显异常
患者,女,60岁。3天前突然左侧肾绞痛。B超示:左侧肾脏中度积水,左侧输尿管上段扩张。2年前有结石排出史。进一步首选检查为()
A:CT
B:腹平片十静脉肾盂造影
C:逆行肾盂造影
D:MRI
E:放射性核素肾图
膀胱三角指()
A:膀胱底部两侧至膀胱颈
B:膀胱底部两侧壁至膀胱颈
C:膀胱顶部至膀胱颈
D:膀胱底部两侧输尿管开口部至膀胱颈
E:以上都不是
关于KIukenberg瘤,下列描述哪项不对()
A:卵巢转移瘤
B:多为双侧性
C:原发瘤以胃癌居多
D:常有腹水
E:多为密度均匀的实性肿块
男性,45岁。突然左侧肢体活动不灵1天,伴恶心、呕吐,无发热。既往有高血压病史。
第1题,共1个问题
(单选题)CT检查如图所示,病变主要累及()
A:颞、枕、顶、额叶及基底节区
B:右颞、枕叶
C:右颞、顶叶
D:右颞、枕、顶叶
E:右颞、枕叶及基底节区
患者,女,65岁。左侧肢体偏瘫,言语不清2天入院,曾有高血压病史多年。影像学检查如下图。
对该病最具有早期诊断价值的影像学检查方法是()
A:头颅CT
B:头颅X线平片
C:磁共振DWI序列
D:DSA检查
E:超声
F:以上都不是
第1题,共3个问题
(单选题)最可能的CT诊断为()
A:中心型肺癌
B:周围型肺癌
C:淋巴瘤
D:炎性假瘤
E:肺结核
第2题,共3个问题
(单选题)患者有以下哪种症状或体征更有助于上述诊断()
A:大口咯血
B:发热
C:血沉快
D:血丝痰
E:腋窝淋巴结肿大
第3题,共3个问题
(单选题)为进一步明确诊断,应行以下哪种检查()
A:USG
B:MR
C:纤维支气管镜
D:PPD
E:仿真内镜
患者,男,74岁。肝区偶感不适,腹胀、消瘦乏力,行MRI检查,如图。
第1题,共3个问题
(单选题)患者最可能的诊断为()
A:肝细胞肝癌
B:肝腺瘤
C:肝血管瘤
D:胆管细胞癌
E:肝内转移瘤
F:肝局灶性结节性增生
第2题,共3个问题
(单选题)该病典型的影像特点是()
A:快进快出
B:早出晚归
C:牛眼征
D:靶征
E:病灶增强检查静脉期常高于动脉期
F:轨道征
第3题,共3个问题
(单选题)肝门区胆管癌(Klatskin瘤)最常见的MRI表现为()
A:肝门区大肿块
B:肝门区胆管腔内充盈缺损
C:肝内胆管扩张,肝总管及胆总管无扩张
D:胆囊明显缩小
E:肝内及淋巴结转移病灶
F:周围见多个淋巴结肿大
患者,女,30岁,搏动性突眼伴头痛半年。CT平扫表现为眼球突出,眼上、下静脉迂曲扩张,呈弯曲条状软组织密度影,位于视神经和上直肌之间;增强后眼上静脉明显强化。
第1题,共3个问题
(单选题)最可能的诊断是()
A:眶内炎性假瘤
B:视神经肿瘤
C:海绵状血管瘤
D:甲状腺性突眼(眼型Graves病)
E:颈内动脉海绵窦瘘
第2题,共3个问题
(单选题)诊断颈内动脉海绵窦瘘的金标准是()
A:CT
B:MRI
C:血管造影
D:CTA
E:MRA
第3题,共3个问题
(单选题)颈内动脉海绵窦瘘的CT表现
不包括
()
A:突眼
B:眼上、下静脉迂曲扩张
C:患侧海绵窦扩大
D:眼外肌可增粗,密度增高
E:视神经无改变
肾单纯性囊肿一般发生于哪个部分()
A:肾皮质
B:肾髓质
C:肾窦
D:肾盂
E:以上都不是
患者,男,52岁。因视物模糊来院,影像学检查如下图。
关于该病下列表述正确的是()
A:肿瘤自鞍内生长突入鞍上池,使鞍上池变形
B:CT冠状位扫描较横断面更容易显示鞍底的改变
C:较大的肿瘤可钙化,典型的钙化表现为蛋壳样钙化
D:肿瘤通常向侧方生长推移、破坏或包绕海绵窦
E:病变多为长T长T信号伴有出血时TWI可见高信号
关于Seldinger技术描述正确的是()
A:经皮穿刺大血管通过导丝和导管交换的方式把导管送入血管内
B:一种经血管栓塞技术
C:经皮穿刺管腔,通过导丝和导管交换的方式把导管送入人体管腔的技术
D:一种动脉内药物灌注技术
E:即血管介入技术
关于肾脏CT检查方法,下列哪项是错误的()
A:普通扫描可以发现钙化及结节
B:扫描前禁服钡剂、含钙或金属药物
C:扫描前30分钟口服15%泛影葡胺500ml
D:扫描前6小时禁食
E:一般不需要增强扫描
下列关于胆管引流术的叙述,错误的是()
A:经皮经肝胆道内-外引流术中引流管侧孔段必须骑跨在狭窄胆道的两侧
B:经皮经肝胆道内-外引流术中,十二指肠内的引流管头最好卷曲,避免与十二指肠壁摩擦
C:胆道支架置入后,内-外引流1周,关闭3天以上,无反应后再拔管
D:经皮经肝胆道内-外引流术中,引流管侧孔应在狭窄胆道的近端胆管内
E:经皮经肝胆道外引流术中,引流管侧孔应在狭窄胆道的近端胆管内
女,17岁,左前臂内侧疼痛6个月,夜间加重,伴活动受限,局部隆起、质硬,有压痛。
第1题,共2个问题
(单选题)结合左尺桡骨CT平扫及重组图像(MPR,VRT),最可能的诊断是()
A:Brodie脓肿
B:硬化性骨髓炎
C:骨结核
D:骨样骨瘤
E:骨肉瘤
第2题,共2个问题
(单选题)试验性治疗,宜选用何种药物以解除疼痛()
A:度冷丁
B:头孢类抗生素
C:磺胺类抗生素
D:大环内酯类抗生素
E:水杨酸类药物
患儿,女,3岁,生后即有发绀,哭闹时尤甚,逐年加重,喜蹲踞,查体:胸骨左缘第3、4肋骨间3/6级收缩期吹风样杂音。胸片示肺纹理稀疏、纤细,肺门影小,心影呈"靴形心"。此病例最可能诊断为()
A:房间隔缺损
B:心包炎
C:肺动脉瓣狭窄
D:法洛四联症
E:动脉导管未闭
关于肺栓塞肺动脉造影的主要表现,以下
不正确
的是()
A:肺动脉主干扩张
B:肺动脉周围分支变细
C:肺动脉一支或分支内有充盈缺损
D:某一支肺动脉分支完全阻断
E:某一局部肺动脉延迟充盈
女性,60岁,意识不清1小时,血压:118/88mmHg,颅脑CT如下图,最可能的诊断为()
A:脑挫裂伤
B:脑室出血
C:脑出血
D:硬膜下出血
E:蛛网膜下腔出血
关节肿胀的X线征象
不包括
()
A:大量关节积液时关节间隙增宽
B:整个关节区密度增高
C:局部有软组织肿块影
D:脂肪垫和肌肉间脂肪层移位变形或模糊消失
E:关节周围软组织影膨隆
首页
<上一页
103
104
105
106
107
下一页>
尾页