自考题库
首页
所有科目
自考历年真题
考试分类
关于本站
游客
账号设置
退出登录
注册
登录
出自:内分泌学高级职称
下列哪个器官不含内分泌组织()。
A:胃肠
B:脑
C:骨
D:心脏
E:肾脏
体重指数(BMI)的计算()。
A:BMI=体重(kg)/身高(m)
2
B:BMI=体重(kg)
2
/身高(m)
C:BMI=体重(kg)
2
/身高(m)
2
D:BMI=身高(m)
2
/体重(kg)
2
E:BMI=身高(m)
2
/体重(kg)
高胆固醇血症重者选用哪类调节血脂药( )
A:胆酸螯合树脂类
B:烟酸类
C:HMC-CoA还原酶抑制剂
D:氯贝丁酯类
E:亚油酸及其复方制剂
甲状腺功能亢进病的主要临床表现__________、__________、__________。
关于Addison病的治疗,叙述正确的有()。
A:应终生使用激素替代治疗
B:平时采用肾上腺皮质激素替代治疗,有感染等应激状态时适当增加剂量
C:模拟激素生理分泌周期,8AM时口服每日总量的2/3,4PM时口服每日总量的1/3
D:食盐的摄入量应充分,部分患者需加用盐皮质激素
E:对有活动性结核患者,应积极抗结核治疗,同时适当减少替代的肾上腺皮质激素量
低血糖经处理后患者血糖升至8.9mmol/L但半小时后神志仍不恢复,此时应( )
A:再度推注50%葡萄糖液60~100ml
B:持续静脉滴注5%~10%葡萄糖液直至患者清醒
C:胰升血糖素1mg皮下或肌注
D:20%甘露醇200ml脱水治疗
E:作头颅CT检查
女性,20岁。多饮、多尿、纳差伴体重下降半年就诊。体检身高161cm,体重55kg。血糖19.2mmol/L,尿酮(+)。
第1题,共3个问题
(单选题)在治疗1月后空腹血糖为14mmol/L,中、晚餐前血糖控制较满意。此时何种措施为最佳选择()。
A:中、晚餐前加用中效胰岛素
B:睡前增加1次短效胰岛素
C:晚餐减量
D:睡前加用口服二甲双胍
E:加强午夜及凌晨血糖监测,然后再调整胰岛素用量
第2题,共3个问题
(单选题)根据目前情况,下列哪项治疗方案是最佳选择()。
A:双胍类降糖药
B:长效胰岛素治疗
C:短效胰岛素治疗
D:磺脲类降糖药治疗
E:混合胰岛素治疗
第3题,共3个问题
(单选题)此时应按下列哪项方案制定饮食治疗措施()。
A:按实际体重计算饮食
B:按标准体重计算饮食
C:按标准体重计算饮食,参考实际体重逐步调整
D:按标准体重计算饮食,糖类越少越好
E:按标准体重计算饮食,增加蛋白质比例
简述垂体危像的处理。
甲亢浸润性突眼的主要原因是( )
A:眼球后组织的浸润水肿
B:上睑肌的痉挛回缩
C:交感神经兴奋
D:眼球后新生物
E:眼球肿胀
甲亢治疗方法中,最易引起甲状腺功能减退的是()。
A:甲基硫氧嘧啶
B:他巴唑
C:放射性
131
I治疗
D:手术次全切除甲状腺
E:丙基硫氧嘧啶
甲状腺功能减退的临床表现
不包括
()。
A:皮肤干燥
B:体重增加
C:记忆力减退
D:肌肉松弛
E:畏寒
下列哪项X线表现对甲状旁腺功能亢进症有诊断价值()
A:弥漫性脱钙
B:纤维囊性骨炎
C:骨囊肿样变化
D:骨膜下皮质吸收、颅骨斑点状脱钙
E:多发性骨折或骨骼畸形
中年男性,甲亢患者。抗甲状腺药物治疗9个月,外周血白细胞降至3×10/L,中性粒<1.5×10/L。处理( )
A:减少抗甲状腺药物剂量
B:停用抗甲状腺药,严密观察,加用促进白细胞增生药
C:减少抗甲状腺药物剂量,加用促进白细胞增生药
D:停用抗甲状腺药
E:停用抗甲状腺药,严密观察
特发性1型糖尿病的临床特点
不包括
()。
A:有阳性家族史
B:起病早
C:病初可出现酮症
D:有自身免疫反应的证据
E:是发生在某些人种的特殊类型
下列哪项不是决定血浆渗透压的因素( )
A:血钠
B:血糖
C:血尿素氮
D:血乳酸
E:血钾
抢救肾上腺危像最初24小时氢化可的松总量约400mg。
关于甲状腺功能减退症患者发生贫血的原因,下列说法
不正确
的是( )
A:甲状腺激素缺乏引起血红蛋白合成障碍
B:甲状腺激素缺乏引起血红蛋白破坏增多
C:肠道吸收铁障碍引起铁缺乏
D:肠道吸收叶酸障碍引起叶酸缺乏
E:恶性贫血
糖尿病患者使用胰岛素治疗,在无酮症酸中毒也无拮抗胰岛素因素存在的情况下每日胰岛素需要量>100~200U。考虑该患者的表现为( )
A:胰岛素抗药性
B:胰岛素失效
C:胰岛素过敏
D:Somogyi现像
E:胰岛素抵抗
患者男,46岁,因“乏力、食欲减退3个月,检查发现低钠血症1d”来诊。既往体健,无吸烟史。查体:BP135/90mmHg;HR80次/min,律齐,各瓣膜区未闻及杂音;双手示指呈杵状指,双下肢无水肿。为明确诊断应立即进行的检查项目包括()。
A:测定胰岛素
B:测定儿茶酚胺及其代谢产物
C:复查血钠和24h尿钠
D:胸部X线片或CT
E:测定血皮质醇、ACTH
F:颅脑CT
试述糖尿病酮症酸中毒的诱因,诊断及治疗原则。
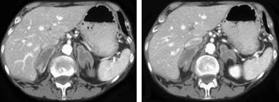
男,65岁,体检时超声发现双侧肾上腺肿块,CT检查如图所示,请结合图像,选择最佳答案()
A:双侧肾上腺转移瘤
B:双侧肾上腺结核
C:双侧嗜铬细胞瘤
D:双侧肾上腺增生
E:双侧肾上腺腺瘤
在评价内分泌激素水平的临床意义时应注意( )
A:年龄
B:性别
C:营养状况
D:有否应激
E:取血时间
下列哪项说法
不正确
( )
A:二磷酸盐可阻止骨细胞和成骨细胞凋亡
B:降钙素可阻止骨细胞和成骨细胞凋亡
C:PTH可促进骨转换,加速成骨细胞凋亡
D:遗传因素决定了70%~80%的峰值骨量
E:在骨的生长发育期和钙需要量增加时,摄入钙不足将影响骨形成和峰值骨量
女性,40岁,糖尿病病史3年,体重下降10kg。因服用格列齐特240mg/日,空腹血糖控制在9~10mmol/L,餐后两小时13mmol/L左右,HbAlc8.5%,尿检查酮体反复阳性,改用胰岛素治疗2个月余,HbAlc下降至7%。父亲患糖尿病,BMI25kg/m
3
,ICA阴性,GAD抗体阳性。此例患者最可能的诊断是()。
A:2型糖尿病,磺脲类药物失效
B:特发1型糖尿病
C:缓慢进展1型糖尿病
D:MODY
E:无法分型
下列关于糖尿病肾病的叙述正确的是( )
A:是T1DM患者的主要死因
B:结节性肾小球硬化型病变有高度特异性
C:患者病程常在10年以上
D:早期肾病应用ACEI或ARB可减轻微量白蛋白尿
E:糖尿病肾病最终可发展为尿毒症
由于下丘脑疾病引起的TRH分泌减少所致甲减为三发性甲减。
胞内分泌
和原发糖尿病无关的因素()。
A:遗传因素
B:自身免疫
C:病毒感染
D:肥胖或精神刺激、创伤等应激状态
E:胰腺癌
糖尿病酮症酸中毒的碳酸氢钠使用指征为()。
A:治疗酸中毒起初2h
B:出现血钾过高
C:出现心律紊乱
D:血pH<7.1
E:血pH<7.3
患者,女,28岁。发现血压升高2年,因近1个月发作性下肢软瘫3次就诊。体检:神志清楚,血压180/105mmHg。CT示左侧肾上腺占位约1.5cm。
第1题,共1个问题
(配伍题)
如该患者的血钾报告是3.6mmol/L,应首先检测( )
如该患者的血钾报告是3.3mmol/L,应首先检测( )
如该患者的血钾报告是3.6mmol/L,24小时尿钠为40mmol/L。经盐负荷5天后再测血钾为3.lmmol/L。应进一步测定( )
首页
<上一页
102
103
104
105
106
下一页>
尾页