自考题库
首页
所有科目
自考历年真题
考试分类
关于本站
游客
账号设置
退出登录
注册
登录
出自:骨外科高级职称
男,65岁,双下肢行走无力,有踩棉感2个月。体格检查:躯干自剑突平面以下痛觉减退,双上肢前臂外侧痛觉减退,双膝反射(++++),双踝反射(+++),双巴氏征(+),肌张力升高。对患者进行了前路植骨融合手术,可能的并发症有()
A:吞咽困难
B:声音嘶哑
C:脑脊液漏
D:颈部畸形
E:临近节段椎间盘退变
F:贫血
骨折不愈合( )
骨折延迟愈合( )
A:骨折经治疗后,已超过一般愈合所需时间,骨折处仍有反常活动,X线片示两骨折端被浓密硬化骨质封闭
B:骨折后2周,X线片仍可见清晰骨折线
C:切开复位内固定后3个月,患处仍有压痛
D:骨折经治疗后,已超过一般愈合所需时间,骨折断端仍未出现骨折连接
E:原来成角畸形的骨折端没有得到解剖复位畸形愈合
肩周炎
不正确
的治疗方法是()
A:理疗
B:封闭
C:按摩
D:服用非甾体抗炎药物
E:限制肩关节活动
关于尺神经的描述中正确的是( )
A:在前臂上部与尺动脉靠近
B:在臂中份以下行于臂内侧肌间隔前方
C:自肘后尺神经沟下行
D:在前臂远侧与尺血管相距较远
E:分布于手掌外侧部皮肤
十七岁男性,跛行12年,时有跌跤,既往3岁时因“感冒”曾发热38.6℃,伴头痛,肌肉酸痛,5天后发热退,发现左足不能主动背伸,查体:左小腿肌肉萎缩,皮肤感觉正常,肌张力不高,胫前肌呈不完全性弛缓性瘫痪。进一步检查发现该患者胫前肌有萎缩,但不能带动关节活动,其他肌肉肌力正常,此胫前肌的肌力为()
A:0级
B:Ⅰ级
C:Ⅱ级
D:Ⅲ级
E:Ⅳ级
男性,15岁。有胫骨近端疼痛、肿胀1个月,夜间痛明显,无明显外伤史。
第1题,共3个问题
(单选题)就诊拍X线片显示:左胫骨近端囊状透亮区,边界清,最可能的诊断是()
A:骨软骨瘤
B:骨肉瘤
C:骨化性肌炎
D:骨结核
E:慢性骨髓炎
F:骨巨细胞瘤
第2题,共3个问题
(单选题)患者摔倒后出现局部肿痛和异常活动,可采用的治疗方法有()
A:卧床休息
B:切开手术
C:穿刺活检
D:放疗
E:化疗
F:理疗
第3题,共3个问题
(多选题)关于患者最有可能的诊断是()
A:骨囊肿
B:骨纤维异样增殖症
C:动脉瘤样骨囊肿
D:内生性软骨瘤
E:骨肉瘤
F:化脓性骨髓炎
男性,40岁,乘坐公共汽车,右腿搁在左大腿上,突遇车祸,向前冲撞倒地。右髋疼痛,活动障碍。体检发现右下肢短缩,呈屈曲内收、内旋畸形。应首先考虑何种诊断?
下列哪项关于松毛虫性骨关节病是
不正确
的( )
A:病史中有接触松毛虫或接触污染的历史
B:本病好发于20~49岁
C:本病有较强的季节性,以9月份发病最多
D:本病主要侵袭人的皮肤、骨和关节
E:病变主要累及外露的四肢关节
下列引起放射性坐骨神经痛的疾病有()
A:急性腰扭伤
B:腰椎间盘突出症
C:第3腰椎横突综合征
D:神经根鞘膜瘤
E:腰部肌筋膜纤维织炎
神经根型颈椎病首先考虑保守治疗。( )
肘部桡神经(如图)损伤的症状、体征有哪些()
A:不能伸腕
B:大鱼际萎缩
C:拇指不能内收
D:拇指不能背伸
E:虎口区感觉障碍
脊柱后凸,棘突叩痛,压痛,拾物试验阳性,X片显示椎体有骨质破坏,椎间隙变窄的首选诊断是()
A:脊椎结核
B:脊髓炎
C:强直性关节炎
D:脊椎肿瘤
E:化脓性脊髓炎
尺神经的绝对支配区为小指。( )
对女性小骨盆的描述,正确的是( )
A:上口近椭圆形
B:盆腔呈漏斗形
C:耻骨下角一般在90°~100°之间
D:外形窄而长
E:两坐骨结节距离较男性长
下列不是骨折的早期并发症的是()
A:休克
B:感染
C:神经损伤
D:异位骨化
E:脂肪栓塞
8岁患儿,发热伴有膝痛5天来院门诊。追述病史,半月前有跌伤史,但可自由活动。体检:T39℃,右膝上无明显红肿,局部皮温稍高,无波动感,局部按压剧痛。查血WBC19.5×10/L,X线片示右膝关节未见明显异常。最可能的诊断是()
A:青枝骨折
B:软组织损伤
C:右膝半月板损伤
D:右膝关节滑膜炎
E:急性化脓性骨髓炎
男性,19岁。做倒立运动时,双手不稳至枕部触于地面,出现双上肢麻木,活动无力,头稍歪向一侧,不敢转动。最可能为何种损伤()
A:寰椎前脱位
B:寰椎单侧半脱位
C:枢椎齿状突基底部骨折
D:寰椎后弓骨折
E:寰椎后脱位
患者男,18岁,踢球时扭伤膝关节,休息2周后,行走时感右膝关节疼痛、无力,常出现关节交锁、弹响。
第1题,共3个问题
(单选题)为明确诊断和及时治疗,最佳的处理是()
A:X线片
B:CT
C:MRI
D:关节造影
E:关节镜
F:核素骨扫描
第2题,共3个问题
(单选题)损伤部位为(提示若患者查体示右膝轻度肿胀,内侧关节间隙压痛(+),侧方应力试验(-),抽屉试验(-),麦氏征(+),过伸试验(+)。)()
A:内侧半月板后角损伤
B:内侧半月板前角损伤
C:内侧半月板体部损伤
D:外侧半月板后角损伤
E:外侧半月板前角损伤
F:外侧半月板体部损伤
第3题,共3个问题
(单选题)最有可能的诊断是()
A:交叉韧带损伤
B:盘状半月板
C:髌骨骨折
D:半月板损伤
E:单纯软组织损伤
F:侧副韧带损伤
6岁女孩,外伤致伸直型肱骨髁上骨折,手法复位石膏外固定后5小时后出现手麻,主动活动障碍,手发凉,此时的治疗,应采取( )
A:观察1天,视情况采用相应措施
B:立即拆除石膏,改用骨牵引治疗
C:应用血管扩张剂
D:手术探查,手术治疗
E:臂丛麻醉
应用关节清理术治疗类风湿性关节炎的手术治疗原则与滑膜切除术相比较,相同点是()
A:相同的切口和入路
B:凿除妨碍关节活动的骨刺和骨嵴
C:切除增生肥厚的滑膜组织
D:切除增厚、纤维化或骨化的关节囊
E:刮除肉芽及血管翳
某男,20岁,右上臂撞伤中下段成角畸形,伤后腕关节不能主动背伸,各掌指关节不能主动伸直,除考虑肱骨干中下段骨折外,还应首先考虑何种各并伤?()
A:臂丛神经损伤
B:肌皮神经损伤
C:正中神经损伤
D:桡神经损伤
E:尺神经损伤
体育运动中膝关节韧带断裂最常见的是()
A:内侧副韧带
B:后交叉韧带
C:外侧副韧带
D:前交叉韧带
E:髌韧带
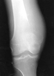
股骨下端肿瘤生产迅速,局部疼痛逐渐加重,有夜间痛,局部皮温增高,关节活动受限,X线检查有骨质破坏和骨膜反应(如图),最可能是()
A:骨瘤
B:软骨瘤
C:骨软骨瘤
D:骨肉瘤
E:骨髓瘤
创伤常见的并发症是休克和感染。( )
引起肩峰撞击征的因素包括()
A:肩锁关节骨赘
B:喙肩韧带肥厚
C:肩峰籽骨
D:肩袖钙化性肌腱炎
E:肩袖缝合术后不愈合
患者,男,11岁,左肱骨髁上骨折,已手法复位外固定2小时,为早期发现骨筋膜室综合症,要特别注意以下哪项()
A:桡动脉搏动
B:手及前臂的温度颜色
C:肿胀的程度
D:有无麻木感觉障碍
E:是否疼痛剧烈及与手指活动的关系
患者青年男性,颈部疼痛伴四肢无力4年,查体:第二肋间以下感觉明显减弱,对其诊断最有意义的辅助检查为()
A:胸椎的X线平片
B:颈椎的X线平片
C:颈椎的MRI
D:胸椎的MRI
E:全身详细的体检
男性,40岁。股骨下端疼痛、肿胀,膝关节活动轻微受限21天。查体:股骨下端偏外侧局限性隆起,压痛,皮温略高。X线检查:股骨外侧髁可见偏心性生长的骨吸收病灶,皮质向外膨隆,变薄,无骨膜反应。首先要考虑的诊断是()
A:骨纤维异样增殖症
B:骨巨细胞瘤
C:嗜酸性肉芽肿
D:内生软骨瘤
E:骨囊肿
一名47岁男性钳工,近3周来右肘关节外侧疼痛,向前臂外侧放射,用铁锤及旋螺钉后疼痛加重,近5天来拧毛巾痛,持物无力,易丢落,体检:肘关节活动正常,无红肿,右肘外侧局限性压痛明显,下列哪项试验最有助于诊断()
A:搭肩试验
B:神经干叩击试验(Tinel征)
C:握拳尺屈试验(Finkelstein征)
D:伸肌腱牵拉试验(Mills征)
E:屈腕试验
髋关节后脱位时患肢的畸形是( )
A:患肢缩短,髋关节屈曲、大转子明显上移
B:患肢缩短,髋关节屈曲、外展,内旋畸形
C:患肢缩短,髋关节屈曲、外旋畸形
D:患肢缩短,髋关节屈曲、外展,外旋畸形
E:患肢缩短,髋关节屈曲、内收、内旋畸形
首页
<上一页
102
103
104
105
106
下一页>
尾页