出自:肿瘤学高级职称

患者男,60岁。因进行性吞咽困难4个月就诊入院,经食管镜检查示食管中段6cm长之管腔狭窄,黏膜中断,病检报告为鳞癌Ⅱ级。体查锁骨上无肿大淋巴结,无声嘶。如果该患者接受了二野术式治疗,术后病理诊断为高分化鳞癌侵及食管全层,纵隔1/7淋巴结转移。该患者下一步治疗措施为()。
A:密切观察随访
B:化疗
C:中药辅助治疗
D:局部放疗
E:分子靶向药物治疗
F:热疗
鼻咽癌侵及脑神经;锁骨上窝以上双颈淋巴结转移,肿大淋巴结最长径为4cm;无远处转移,据UICC分期,属于()期。
A:T3N3M0
B:T3N2M0
C:T4N2M0
D:T4N3M0
E:T4N1M0
生长比率
骨髓瘤的X线表现( )
A:广泛性骨质疏松
B:多发性骨质破坏
C:骨质硬化
D:软组织肿块
E:骨质破坏,骨质硬化并存
食管癌两侧水平对穿野常用于( )
A:根治放疗
B:术前放疗
C:术后放疗
D:单纯放疗
E:姑息放疗
下列关于癌的病理分级的描述不正确的是()。
A:高分化鳞癌形成角化珠
B:低分化鳞癌恶性度高
C:未分化癌属高度恶性的腺癌
D:实性癌不形成腺样结构
E:分级主要依据癌组织细胞的分化程度
女性,40岁,不明原因的低热、乏力半年,间歇性无痛性肉眼血尿两周,查体:体温:37.6℃,血压:145/90mmHg,余未发现异常,应考虑( )
A:肿瘤
B:结石
C:肾炎
D:肾盂肾炎
E:肾病综合征
肝癌的一线诊断方法是()。
A:B超
B:CT
C:MRI
D:肝动脉造影
E:B超+AFP定量测定
不宜施行放射治疗的是( )
各型肺癌中对放射治疗最敏感的是( )
对放射治疗敏感性最低的是( )
A:癌性空洞 
B:鳞型肺癌 
C:细支气管肺泡癌 
D:小细胞肺癌 
E:以上都不是
目前全世界发病率最高的恶性肿瘤是()。
A:肺癌
B:胃癌
C:乳腺癌
D:结直肠癌
E:肝癌
女性,25岁。多关节肿痛1年来诊,包括双腕、双手指间关节、掌指关节、双膝关节,伴晨僵2小时,查体见双手近端指间关节梭形肿胀,双腕关节肿胀。为进一步与系统性红斑狼疮区别,最有意义的检查是()。
A:补体检测
B:抗核抗体、抗ENA抗体谱
C:免疫球蛋白检测
D:抗心磷脂抗体
E:胸片
肺癌固定SSD(100cm)斜野定位时( )
A:SSD为100cm后不要升降床
B:SSD为100cm后再升降床
C:SSD为100cm后不可平移床
D:不用SSD
E:GA大于70度时可以挡铅
胰腺癌诊断中最具有临床意义的肿瘤标志物是()。
A:CEA
B:CA19–9
C:CA125
D:CA153
E:AFP
哪些属于5-FU治疗的新进展( )
A:时辰给药 
B:每日静点4小时 
C:每日持续输注24小时 
D:先用CF后5FU增效 
E:先用5FU后加CF解毒 
男性,75岁,慢性支气管炎肺气肿,陈旧性心肌梗死史,心肺功能差,1秒用力通气量为50%,胸片与CT发现右上肺有一分叶、有毛刺与后胸壁关系密切的肿块,无肺门淋巴结肿大,组织学诊断为鳞癌。

第1题,共3个问题
(单选题)以下关于预防放射性肺病的错误的是()。
A:了解照射时正常肺的受照射体积、剂量,确保肺的受照射剂量在耐受剂量范围内
B:尽量采用多野、较小野照射
C:合理的选择单次照射剂量和总剂量
D:预防应用抗生素和激素
E:放射治疗中应密切观察病情的变化,及早发现并给予恰当的处理

第2题,共3个问题
(单选题)放射治疗剂量为()。
A:DT60Gy/(30次·6周)
B:DT40Gy/20次
C:DT50Gy/25次
D:DT70Gy/35次

第3题,共3个问题
(单选题)最佳的照射范围是()。
A:原发灶+肺门
B:原发灶+肺门+纵隔淋巴引流区
C:原发灶
D:原发灶+肺门+胸壁
E:原发灶+肺门+纵隔淋巴引流区+锁骨上区
关于鼻腔及副鼻窦恶性肿瘤的治疗,下列说法错误的是()。
A:上颌窦未分化癌只需行单纯放疗
B:若上颌窦顶壁和眶内软组织受侵可保留眶内容物,术后补充放疗
C:临床A期的嗅神经母细胞瘤可单纯手术或单纯放疗
D:恶性黑色素瘤应采取以放疗、手术、化疗及生物治疗联合的综合治疗模式
E:有颈部淋巴结转移时应行根治性颈淋巴结清扫术
第一期乳腺癌,肿块的直径不超过1cm。
保乳手术和放化疗综合治疗的绝对禁忌证为( )
A:腋窝有肿大淋巴结
B:肿瘤大于4cm
C:乳腺多发性肿瘤
D:病理为浸润性小叶癌
E:弥漫性显微钙化
女性,17岁。因高热、口腔溃疡、多关节痛10天来诊,伴劳累后胸闷气短,查体见面部蝶形红斑,手指指端红色痛性结节,浅表淋巴结轻度增大,双肺无干湿啰音,心率70次/分,心律齐,肺动脉区第二心音亢进,无杂音,双下肢无水肿。抗核抗体1∶1000阳性,抗dsDNA阳性。进一步应该做的检查不包括()。
A:唾液腺流率
B:肺动脉压力测定
C:尿蛋白定量
D:肺CT
E:心脏多普勒超声
目前认为需要常规进行术后化疗的肿瘤是()。
A:滑膜肉瘤
B:软组织恶性纤维组织细胞瘤
C:尤文肉瘤
D:脂肪肉瘤
E:软骨肉瘤
下列哪一项不是早期皮肤恶性黑色素瘤皮损的表现()。
A:颜色改变,尤其以蓝黑色、灰色、棕色和杂色最为重要
B:可扪及明显增大、质硬、不规则肿块,压痛明显
C:周边参差不齐,呈锯齿状
D:表面不规则隆起、粗糙、脱屑和渗液等
E:皮损迅速增大、持续瘙痒、结痂或出现卫星结节等
影响喉癌放疗局部控制率的因素须除外的是()。
A:KPS评分情况
B:放疗后合并第二原发肿瘤
C:治疗前Hb(血红蛋白)的高低
D:症状持续时间的长短
E:肿瘤的大小和生长方式

15岁男孩,左小腿上段进行性疼痛3个月余,偶有轻微发热、查体:左小腿上:段外侧方可触及一质硬包块,有轻微压痛、左下肢X线片示:左侧腓骨骨干边界模糊,存在不规则的破坏区,周围伴“葱皮样”反应骨形成。



第1题,共3个问题
(单选题)在采集病史时应特别注意询问( )
A:有无低热、盗汗及慢性咳嗽病史
B:有无左下肢外伤史
C:疼痛是否在夜间加重
D:有无左小腿局部红、肿、热、痛病史
E:服用阿司匹林控制疼痛的效果如何

第2题,共3个问题
(单选题)如果经活组织检查证实为Ewing肉瘤.则其最可能来源于( )
A:骨髓细胞
B:成纤维细胞
C:成软骨细胞
D:成骨细胞
E:破骨细胞

第3题,共3个问题
(单选题)除骨核素扫描外、对评估病情及判断预后最不可缺少的辅助检查是( )
A:患处B型超声显像
B:患肢CT检查
C:胸部X线摄片
D:测定血钙、血磷、碱性磷酸酶、酸性磷酸酶
E:测定血清总蛋白的浓度
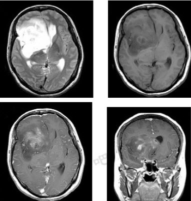
女,32岁,头痛1年,复视4个月,请根据所提供图像,选择最可能的诊断()
A:(右额颞)胶质母细胞瘤 
B:(右额颞)多形性黄色星形细胞瘤 
C:(右额颞)混合性胶质瘤(星形细胞和少突细胞) 
D:(右额颞)毛细胞型星形细胞瘤 
E:(右额颞)室管膜下巨细胞星形细胞瘤 
关于人群归因危险度,叙述错误的有()。
A:最常用的定义是:对于可预防的危险因素,计算不暴露于该危险因素所有可能不发生的病例占的比例
B:目前,感染和吸烟是中国人群中主要的肿瘤环境危险因素
C:当暴露因素是多个水平时,归因分数(AF.的计算采用Levin提出的公式
D:肿瘤环境危险因素间AF相加称为AF的联合作用
E:根据人群中肿瘤危险因素暴露情况的变化,可监测人群归因危险度的变化
3.轻度非典型增生是指异型细胞局限于____。
以下关于弥漫大B细胞淋巴瘤描述错误的是()。
A:表达B细胞抗原
B:分为生发中心型和非生发中心型两个亚型
C:非生发中心型预后优于生发中心型
D:bcl–6和CD10是生发中心型的标志物
E:MUM–1是非生发中心型的标志物
患者女性,54岁:上腹部隐痛不适1年半,加重3个月入院,上腹痛不规则,偶伴嗳气,饭后饱胀。近一个月体重减轻3公斤,大小便正常,原有慢性萎缩性胃炎病史,体验:消瘦,左锁骨上可扪及一约花米大小淋巴结,质中偏硬。腹平软,剑突下偏左轻压痛,左上腹近剑突下似可扪及一肿块,界线不清,肝脾肋下未及,腹水征(-)。术前应作哪些检查?()
A:三大常规
B:肝肾生化
C:胸片
D:腹部B超
E:心电图
F:骨扫描
G:钡灌肠照片
H:出凝血时间
I:CT
对疑有早期原发性肝癌的患者,下列检查中应首选的是()。
A:同位素肝扫描
B:血清甲胎蛋白动态检测
C:肝区超声检查
D:血清γ–谷氨酰转肽酶
E:选择性肝动脉造影
不符合肿瘤性增生的是( )
A:增生的细胞具有异型性 
B:需致瘤因素的持续存在 
C:细胞代谢旺盛 
D:可不形成肿块 
E:相对无止境生长