出自:内分泌学高级职称

苯乙醇胺N-甲基转移酶使去甲肾上腺素转变为肾上腺素时必需有下列哪项参与()。
A:高浓度皮质醇
B:高浓度VMA
C:高浓度血清素
D:高浓度MN
E:以上都对
甲旁减患者应多进食乳制品与肉类以补钙。
病因学将糖尿病分成四大类型,分别是( )
A:1型,2型,其他特殊类型,GDM
B:自身免疫,特发性,胰岛素抵抗,胰岛素分泌缺陷
C:正常葡萄糖耐量,IGT,IFG,糖尿病
D:正常血糖,IGT,IFG,高血糖
E:1型,2型,IGT,IFG
空腹静脉血浆葡萄糖正常值,目前采用的标准为( )
A:<11.1mmol/L
B:≤6.1mmol/L
C:<7.0mmol/L
D:<7.8mmol/L
E:<6.0mmol/L
糖尿病是一组以慢性高血糖为特征的代谢疾病群。
MEN-1型的治疗方案首选( )
A:手术治疗
B:化疗
C:放疗
D:免疫调节剂
E:替代治疗
28岁,女性,1型糖尿病,平时使用胰岛素40u/d控制血糖,现怀孕6个月,突然出现乏力,昏迷入院,下列处理错误的是( )
A:立即补液治疗
B:立即测血酮体,尿酮体
C:立即查电解质和血气分析
D:立即皮下注射胰岛素40U
E:立即吸氧等对症
原发性醛固酮增多症的诊断标准包括()。
A:高醛固酮水平
B:低肾素活性
C:低钾血症
D:正常皮质醇水平
E:代谢性碱中毒
患者男,24岁,因“怕冷、乏力、体重增加4年,头晕2周”来诊。查体:T36.5℃,P66次/min,R18次/min,BP140/90mmHg;BMI30.5kg/m2;黏液水肿面容,皮肤粗糙;甲状腺无肿大;有泌乳;HR68次/min,律齐,心音低钝;双下肢指压痕(-)。实验室检查:TSH>100mU/L,FT3<2.5pmol/L,FT4<5.5pmol/L,PRL93.73nmol/L,ACTH-皮质醇节律正常。垂体MRI:垂体占位(直径2cm)。该患者应考虑的诊断是()。
A:原发甲状腺功能减退
B:垂体催乳素瘤
C:垂体TSH分泌肿瘤
D:垂体无功能肿瘤
E:继发甲状腺功能减退
F:甲状腺激素抵抗综合征
甲亢性心脏病的首选治疗是()。
A:手术治疗
B:支持治疗
C:放射碘治疗
D:以上都对
E:β受体阻断剂治疗
从长远疗效看下列毒性弥漫性甲状腺肿的治疗方案哪种最容易引起甲状腺功能减退( )
A:甲亢平
B:甲状腺次全切除
C:丙硫氧嘧啶
D:他巴唑
E:(131)I
17-α-羟化酶缺乏症女性患者的临床特点包括()。
A:性不发育、原发性闭经
B:高血钾
C:高血压
D:血促黄体生成素(LH)和卵泡刺激素(FSH)升高
E:甲状腺功能亢进

女性,32岁,发现颈前肿大2年,无甲亢症状,TT,TT正常,甲状腺二度肿大,右侧稍小于左侧,表面似有小结节,无压痛。



第1题,共2个问题
(单选题)下列检查中哪项对鉴别诊断无帮助( )
A:T3抑制试验
B:甲状腺摄碘率
C:TRH兴奋试验
D:甲状腺自身抗体测定
E:甲状腺细针穿刺做细胞学检查

第2题,共2个问题
(单选题)为排除病人有无慢性淋巴细胞性甲状腺炎,你选用下列何项检查?( )
A:血浆TSH测定
B:甲状腺(131)I扫描
C:抗甲状腺球蛋白及微粒体抗体
D:甲状腺细针穿刺活检
E:促甲状腺自身抗体测定
糖化血浆白蛋白的测定体现了几周前的血糖水平()。
A:4周
B:8周
C:10周
D:6周
E:2周
肥胖的2型糖尿病患者首选治疗是()。
A:糖苷酶抑制剂
B:胰岛素治疗
C:双胍类降血糖药
D:磺脲类降糖药
E:噻唑烷二酮类降糖药
患者,32岁,女性,停经4个月,出现恶心、呕吐、食纳亢进,体重不增,孕检时应查哪些项目()。
A:hCG
B:TT3、TT4、TSH
C:TRAB、TPOAb、TgAb
D:FT3、FT4、TSH
E:雌激素和孕激素
患者,男性,58岁,轻度口干、多饮3个月,4天前因头晕、恶心、纳差进行输液治疗,每日约输5%葡萄糖液1000ml,患者逐渐出现嗜睡,1小时前抽搐后昏迷,查体:血压80/60mmHg,皮肤弹性差,病理征(-),血糖35mmol/L,血钠156mmol/L,尿酮体(+)。

第1题,共3个问题
(单选题)下列关于该患者的治疗原则哪项不正确()。
A:血糖降至16.7mmol/L时,可输入5%葡萄糖溶液并加入胰岛素
B:立即输入0.45%氯化钠溶液+胶体溶液
C:立即输入0.9%氯化钠溶液+胶体溶液
D:参考每小时尿量补充钾盐
E:以每小时每公斤体重0.1U的速率静脉滴注胰岛素

第2题,共3个问题
(单选题)患者首要的抢救措施为()。
A:立即使用脱水剂
B:补液
C:静脉注射胰岛素
D:抗感染
E:吸氧

第3题,共3个问题
(单选题)该患者的诊断是()。
A:糖尿病酮症酸中毒
B:脑血管意外
C:糖尿病酮症
D:高渗性昏迷
E:脑水肿
简述MEN-2的类型及临床表现。
女性,71岁。糖尿病史5年。咳嗽、多痰伴发热1周,嗜睡2d,昏迷5h入院。体检:中度昏迷,皮肤干燥,呼吸24次/分,双肺湿啰音,心率120次/分。

第1题,共3个问题
(单选题)如果此时患者血糖31.2mmo//L,尿酮(++)、pH7.1、BUN25mmol/L、Cr204μmol/L,WBC12×10/L、N0.90(90%)。以下哪项为最佳治疗选择()。
A:补液加小剂量胰岛素静滴
B:立即补充各种电解质
C:立即补充5%碳酸氢钠
D:补液加皮下注射正规胰岛素40U
E:在胰岛素溶液中加入抗生素

第2题,共3个问题
(单选题)抢救过程中对饮食的管理哪项是正确的()。
A:坚持糖尿病饮食
B:经胃管间断流质灌胃
C:因病人昏迷可不考虑饮食问题
D:计算全天热量,分别在补液及胃管途径补充
E:静脉营养

第3题,共3个问题
(单选题)此时应做何种检查能最有助于诊断()。
A:ECG
B:电解质
C:HbAlc
D:血脂全套
E:血糖、血酮
内分沁系统固有的内分泌腺共有( )
A:垂体、甲状腺、甲状旁腺、肾上腺、性腺、胰岛
B:下丘脑、垂体、甲状腺、甲状旁腺、肾上腺、性腺
C:下丘脑、垂体、甲状腺、甲状旁腺、肾上腺、胰岛
D:甲状腺、甲状旁腺、肾上腺、性腺、胰岛
E:垂体、甲状腺、甲状旁腺、肾上腺、性腺
甲状腺素是指( )
A:血清TT3
B:血清rT3加血清TT4
C:血清TT4
D:血清rT3
E:血清FT4
患者,女,70岁。患2型糖尿病10年,目前以胰岛素治疗。某日上午在注射胰岛素后1小时左右出现心悸、出汗、饥饿感伴意识障碍,进而昏迷。该患者最可能的诊断是()。
A:糖尿病酮症
B:糖尿病高渗昏迷
C:低血糖昏迷
D:糖尿病伴卒中
E:糖尿病脑血管意外

患者,女,39岁。身高164cm、体重65kg,因多饮、多尿伴乏力半年就诊。体检:BP150/100mmHg,余未见明显异常。空腹血糖6.9mmol/L。



第1题,共3个问题
(单选题)此时患者应做哪项检查以明确诊断( )
A:重复1次血糖
B:测餐后2h血糖
C:测24小时尿糖、尿蛋白
D:OGTT试验
E:糖化血红蛋白

第2题,共3个问题
(单选题)经进一步检查发现,空腹血糖7.1mmol/L,餐后2小时血糖11.1mmol/L。下列哪项为最佳治疗方案( )
A:控制饮食,增加运动,口服D860
B:控制饮食,增加运动,口服格列齐特(达美康)
C:控制饮食,增加运动,监测血糖
D:控制饮食,增加运动,口服消渴丸
E:控制饮食,增加运动,胰岛素治疗

第3题,共3个问题
(单选题)此时患者血压持续增高达150/100mmHg,以下哪项治疗方案对此患者最合适( )
A:硝苯地平
B:普萘洛尔
C:卡托普利
D:复方降压片加硝苯地平
E:普萘洛尔加复方降压片
磺脲类口服降糖药不适宜用于( )
A:2型糖尿病患者基础治疗未达控制目标
B:2型糖尿病患者已用胰岛素<30U/日
C:2型糖尿病对胰岛素抵抗
D:2型糖尿病合并酮症酸中毒
E:与胰岛素联合应用
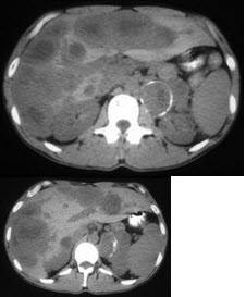
男,37岁,阵发性高血压1月余,请结合所提供图像,选择最佳答案( )
A:左侧肾上腺癌
B:左侧恶性嗜铬细胞瘤
C:左侧肾上腺转移瘤
D:肝转移瘤
E:原发性肝癌
甲状旁腺激素对肾脏的主要作用是( )
A:促进钙离子排出
B:促进磷的再吸收
C:抑制磷的再吸收
D:促钠、钾排出
E:尿酸化
下列哪项检查与下丘脑—垂体—靶腺轴有关().
A:T3抑制试验
B:皮质激素葡萄糖耐量试验
C:禁水试验
D:安体舒通试验
E:水负荷试验
关于垂体催乳素瘤的叙述,下列哪项不正确?( )
A:男女均可发病
B:催乳素瘤细胞中的胞浆颗粒为垂体前叶细胞胞浆颗粒中最大者
C:女性催乳素瘤患者有闭经溢乳症状
D:血浆泌乳素基础水平常高于200μg/L
E:常有视神经交叉压迫症状
女性,43岁,因咳嗽、咳痰、发热1周,昏迷半天急诊入院。既往有Addison病史。查体:血压80/50mmHg,呼吸23次/分,口唇及面部皮肤可见色素沉着,左下肺可闻及少量湿啰音 目前最迫切的治疗是( )
A:补充生理盐水
B:补充糖皮质激素
C:补充葡萄糖盐水及糖皮质激素
D:激素减量并加大抗生素用量
E:血浆扩容

男性,65岁,发作性第一跖趾关节疼痛2年。高血压、冠心病史6年,糖尿病史5年,查体体温37.7℃,左足第一跖趾关节红肿,压痛阳性。腹部B超示脂肪肝,双肾结石,血清尿酸821μmol/L



第1题,共4个问题
(单选题)此患者最可能的诊断是( )
A:类风湿性关节炎
B:化脓性关节炎
C:痛风
D:创伤性关节炎
E:风湿性关节炎

第2题,共4个问题
(单选题)下列哪一项检查对该患者确诊本病最确价值( )
A:普食情况下,24小时尿尿酸320mg
B:旋光显微镜检查受累关节腔滑囊液,见白细胞内有双折光现像的针形结晶
C:血沉29mm/h
D:左足第一跖趾关节X线片示软组织肿胀,软骨缘破坏,关节面不规则
E:血常规WBC10.3×10/L

第3题,共4个问题
(单选题)对该患者进行饮食治疗时,最应限制的食物是( )
A:精米和精面
B:水果和蔬菜
C:鸡蛋
D:牛奶
E:沙丁鱼

第4题,共4个问题
(单选题)该患者应首选哪种药物进行降低尿酸治疗( )
A:苯溴马隆
B:丙磺舒
C:别嘌呤醇
D:碳酸氢钠
E:磺砒酮