自考题库
首页
所有科目
自考历年真题
考试分类
关于本站
游客
账号设置
退出登录
注册
登录
出自:内分泌学高级职称
患者男,39岁,因“反复头痛伴视力下降1年加重10d”来诊。近1年来常有头痛,性欲下降,逐渐出现阳痿等症状。实验室检查:血清PRL>1000ng/ml(正常值1.90~25.00ng/ml),TT
3
0.48nmol/L(正常值0.89~2.44nmol/L),TT
4
41.43nmol/L(正常值62.68~150.80nmol/L),TSH1.173μU/ml(正常值0.500~4.940μU/ml),GH0.003ng/ml(正常值0~10ng/ml)。血浆皮质醇<10ng/ml(8AM)。睾酮水平0.56ng/ml(成年男性正常值3.5~8.6ng/ml),鞍区MRI:31mm×19mm×16mm占位,包裹左侧海绵窦2/3以上。首选处理措施是()。
A:经蝶窦微创手术治疗
B:γ刀立体定向外科治疗
C:多巴胺激动剂治疗
D:定期随访复查血清PRL与鞍区MRI
E:生长激素替代治疗
甲状腺摄(131)I检查有助于( )
A:鉴别不同甲亢的病因
B:估计甲亢严重程度
C:观察药物治疗疗效
D:观察(131)I治疗疗效
E:确定是否为手术适应证
内分泌系统直接由垂体所调控。
女性,18岁,身高160cm,体重90kg,月经明显减少。腹部可见淡红色条纹,高血压,尿糖阳性。治疗应该首先进行()。
A:减肥
B:口服降糖药物
C:降血压
D:激素替代疗法
E:手术治疗
下列哪项
不属于
亚急性甲状腺炎的实验室检查特点( )
A:血沉升高
B:T3、T4增高
C:T3、T4与甲状腺131I率呈“分离曲线”
D:TSH降低
E:摄131I率增高
成年女性,乏力、虚弱、食欲减退、消瘦2年,伴闭经、阴毛及腋毛脱落,皮肤、粘膜色素沉着。诊断考虑( )
A:甲亢
B:甲减
C:继发性肾上腺皮质功能减退症
D:Addison病
E:慢性消耗性疾病
根据临床特点及对甲状腺激素不敏感的组织分布,甲状腺激素抵抗综合征的类型包括()。
A:全身性甲状腺激素抵抗综合征(GRTH)
B:选择性垂体不敏感型甲状腺激素抵抗综合征(PRTH)
C:选择性周围不敏感型甲状腺激素抵抗综合征(PerRTH)
D:桥本甲状腺炎
E:Graves病
下列关于各种皮质醇增多症临床表现的特点哪项
不正确
( )
A:库欣病多见于女性
B:异源性ACTH综合征多见于男性
C:易出现肾上腺皮质癌低钾性碱中毒
D:肾上腺皮质腺瘤多无低钾血症
E:异源性ACTH综合征及肾上腺皮质腺癌均有雄性激素明显增多
某患者发现右侧甲状腺部位一个结节,质中等,无压痛。何项检查对确定结节的性质最有价值( )
A:甲状腺I吸收率测定
B:基础代谢率测定
C:血清蛋白结合碘测定
D:血清总甲状腺素测定.
E:甲状腺核素检查
胰岛素的主要作用是调节脂肪代谢
甲旁亢患者血钙过高可发生钙在软组织沉积,导致迁徙性钙化。
女性,38岁,2个月来乏力、记忆功减退、嗜睡、体重增加、血清胆固醇6.8mmol/L。最可能的诊断是()。
A:甲状腺功能减退症
B:甲状腺功能亢进症
C:高脂血症
D:神经衰弱
E:单纯性肥胖
对具有酮症酸中毒表现不明显的糖尿病,其治疗措施正确的是()。
A:仅需给小量胰岛素皮下注射
B:需要大量胰岛素治疗
C:仅需给足量胰岛素及补充液体
D:不需紧急处理
E:补给足量液体
Addison病由自身免疫机制引起者可合并有( )
A:不育症
B:恶性贫血
C:糖尿病
D:慢性淋巴细胞性甲状腺炎
E:Graves病
患者女,50岁,因“多尿、口干、多饮7年,左足背红肿、流脓2周”来诊。查体:左足背近第1趾间处皮肤破溃,有脓性分泌物,足背大部红肿,压痛不明显,左足背动脉搏动差。空腹血糖13.8mmol/L。该患者糖尿病足伴感染,有关使用抗生素的基本原则,叙述错误的是()。
A:治疗开始,在未知病原菌的情况下使用广谱抗生素
B:可口服抗生素治疗
C:由于局部组织缺血,抗生素剂量可能需要加大
D:软组织抗感染治疗至少2周,如有骨髓炎至少6周
E:根据创面状况和分泌物培养结果调整抗生素
下列疾病所致性早熟中属于真性性早熟的有()。
A:错构瘤
B:家族性高睾酮血症
C:特发性中枢性性早熟
D:卵巢颗粒细胞瘤
E:颅内神经胶质瘤
男性,46岁。口渴、多饮、消瘦3个月,突发昏迷2日。血糖41mmol/L,血钠132mmol/L,血钾4.0mmol/L,尿素氮9.8mmol/L,CO
2
CP18.3mmol/L,尿糖、尿酮(+++)。若出现上述现像,应采用下列哪项措施()。
A:脱水剂如甘露醇、呋噻米及地塞米松
B:降血压、止血或抗凝
C:静注葡萄糖
D:透析疗法
E:纠正酸碱平衡
2型糖尿病的发病机制是胰岛素抵抗和胰岛素分泌缺陷
糖尿病肾病不是糖尿病微血管病变
患者男,65岁,因“胸痛30min”来诊。患者30min前活动时出现心前区压榨样疼痛,向左肩放射,含服硝酸甘油疼痛无缓解,伴大汗,无恶心、呕吐,无呼吸困难。既往有高血压病史,不规则治疗。否认糖尿病病史。吸烟30年。家族史无异常。查体:T36.5℃,P90次/min,R18次/min,BP170/100mmHg;BMI26kg/m
2
,均匀肥胖;意识清楚,呼吸平顺;双肺呼吸音清;心界无扩大,HR90次/min,律齐,各瓣膜区未闻及病理性杂音;腹软,无压痛;双下肢无水肿。目前患者的诊断包括(提示:实验室检查:肌钙蛋白Ⅰ(+);随机血糖10mmol/L,TC5.16mmol/L,LDL-C4.5mmol/L,TG3.9mmol/L,HDL-C0.91mmol/L;肝、肾功能正常;凝血功能正常。ECG://V1~V5ST段弓背向上抬高,提示急性广泛前壁心肌梗死。)()。
A:冠心病
B:急性广泛前壁心肌梗死
C:原发性高血压
D:混合性血脂异常
E:肥胖症
F:心肌炎
Cushing综合征患者切除肾上腺病变后出现皮肤色素沉着逐渐增深,提示有Ne1son综合征的可能。
糖尿病患者如需施行择期大手术,应该从何时开始使用或改用胰岛素治疗( )
A:术前1周
B:术前3天
C:术前1天
D:手术当天
E:术前2天
成年女性,反复发作手足搐搦,血清PTH明显下降,滴注外源性PTH后尿磷与尿cAMP显著升高,诊断考虑特发性甲状旁腺功能减退症。目前主要采用的治疗是( )
A:补充钙剂和维生素D
B:PTH替代治疗
C:甲状旁腺移植
D:糖皮质激素
E:西咪替丁
男性,60岁,大便次数增多2年,4~6次/日,低热,厌食,消瘦,无腹痛,抗生素无明显疗效。甲状腺结节性肿大,心率96次/分,BP150/70mmHg,肝可触及。大便隐血阴性,ALT56U/L,甲状腺摄I率:3小时为35%,24小时为52%。 哪项检查有助于功能诊断( )
A:基础代谢率测定
B:甲状腺摄I率
C:TRH兴奋试验
D:T抑制试验
E:FT3↑,FT4↑,TSH↓
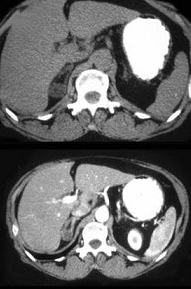
女,35岁,无意中发现血压高,实验室检查:血和尿中醛固酮水平增高,请结合所提供图像,作出诊断( )
A:右肾上腺增生
B:右肾上腺Cushing腺瘤
C:右肾上腺皮质腺瘤
D:右肾上腺转移瘤
E:右肾上腺囊肿
高渗性昏迷( )
糖尿病酮症酸中毒( )
低血糖昏迷( )
A:阴离子间隙增大
B:C0CP升高
C:尿糖阴性
D:血钠145mmol/L
E:血糖33.6mmol/L
关于糖尿病的诊断,正确的是()。
A:必有三多一少症状
B:空腹血浆胰岛素浓度正常,可排除糖尿病
C:空腹血糖正常,不能排除化学性糖尿病
D:葡萄耐量试验正常,可排除糖尿病倾向
E:胰岛素释放试验时,释放胰岛素浓度曲线的高峰提前出现
(131)I治疗甲亢的禁忌证是( )
A:中度甲亢,年龄>25岁
B:妊娠、哺乳期妇女不愿服药者
C:抗甲状腺药过敏或无效或治疗后复发
D:某些高功能结节
E:非自身免疫性家族性毒性甲状腺肿
诊断低血糖的主要依据有()。
A:低血糖症状
B:低血糖体征
C:发作时血糖<2.8mmol/L
D:发作时血糖<2.0mmol/L
E:补充葡萄糖以后低血糖症状迅速缓解
患者,男,18岁。因家长发现他第二性征不明显而就诊。查体发现身高172cm,体重56kg,胡须缺如,喉结未发育,阴茎如儿童大小,嗅觉减退。为了明确诊断,下列哪项检查是不需要的( )
A:基础FSH、LH水平测定
B:血浆PRL测定
C:生长激素分泌激发试验,如胰岛素耐量试验
D:甲状腺功能测定
E:睾酮测定
首页
<上一页
100
101
102
103
104
下一页>
尾页