自考题库
首页
所有科目
自考历年真题
考试分类
关于本站
游客
账号设置
退出登录
注册
登录
出自:耳鼻咽喉科住院医师
变态反应型曲霉菌病的病理检查可有的表现是()。
A:鼻旁窦分泌物检查可见变应性黏液素
B:黏膜反应以淋巴细胞浸润为主
C:黏膜反应以嗜酸性细胞浸润为主
D:黏膜内有杆状有隔的分叉形菌丝侵犯
E:黏膜组织有小动脉有血栓形成
下列哪一项能评价鼻源性眶内并发症病情的严重程度()。
A:眼球突出和视力改变
B:鼻出血
C:头痛
D:鼻塞
E:头晕
PETCO
2
不具备哪一点()。
A:无创伤
B:可连续
C:可监测气道压力波形
D:可在床旁实施监测
E:可定量
不属于
视眼动反射检查的是()。
A:视动性眼震
B:旋转试验
C:扫视试验
D:平稳跟踪试验
E:注视试验
关于主观性耳鸣的病因,错误的是()。
A:中耳的急、慢性炎症
B:贫血、变态反应等全身性疾病
C:咽鼓管异常开放
D:耳硬化症
E:内耳及听神经损害
治疗颈动静脉瘘的最有效方法是()。
A:药物治疗
B:硬化剂局部注射治疗
C:放射治疗
D:手术切除
E:介入治疗
胺碘酮()。
A:延长APD,阻滞Na
+
内流
B:缩短APD,阻滞Na
+
内流
C:延长ERP,促进K
+
外流
D:缩短APD,阻断β受体
E:缩短ERP,阻断α受体
何为阻塞性睡眠呼吸暂停低通气综合征?
有关前庭性眼震描述正确的是()。
A:由交替出现的慢相和快相运动组成
B:慢相为眼球转向某一方向的缓慢运动,由前庭刺激所引起
C:快相为中枢矫正性运动,为眼球的快速回位
D:眼震慢相朝向前庭兴奋性较低的一侧
E:通常眼震方向是指快相所指的方向
食管异物的病因包括()。
A:年龄因素
B:饮食习惯
C:精神状态
D:食管疾病
E:进食时间
下面是急性扁桃体炎的主要致病菌是()。
A:金黄色葡萄球菌
B:甲型溶血性链球菌
C:乙型溶血性链球菌
D:革兰氏阴性杆菌
E:厌氧菌
侵犯到喉外组织的喉癌T分级为()。
A:T1
B:T2
C:T3
D:T4
E:Tis
需行气管切开术的包括()。
A:3~4度喉阻塞
B:气管痉挛引起下呼吸道阻塞
C:昏迷引起下呼吸道阻塞
D:呼吸道烧伤引起呼吸困难
E:口咽部大手术
关于急性化脓性中耳炎的治疗,正确的是()。
A:原则是控制感染,通畅引流并去除病因
B:鼓膜穿孔流脓给2%酚甘油滴耳
C:鼓膜肿胀明显膨出一般药物治疗无效时,应立即行乳突手术
D:积极治疗鼻部及咽部慢性疾病
E:及早足量应用抗生素
鼻部脑膨出按膨出的内容物不同可分为()、()和()。
前组筛窦的开口于()。
A:上鼻道
B:中鼻道
C:下鼻道
D:蝶筛隐窝
E:鼻咽部
对颈部分区的描述,正确的是()。
A:颈部以斜方肌前缘为界分为前、后两部分
B:颈部以斜方肌后缘为界分为前、后两部分
C:颈部以胸锁乳突肌前缘为界分为前、后两部分
D:颈部以胸锁乳突肌后缘为界分为前、后两部分
E:颈部以颈前带状肌为界分为左、右两部分
鼻咽癌放疗早期,其MRI检查可见()。
A:黏膜肿胀
B:咽隐窝消失、变平
C:鼻窦、乳突炎
D:肌肉萎缩、变性
E:鼻咽腔扩大
单侧前庭功能损害可能导致视力模糊。()
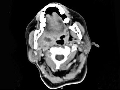
女,52岁,咽喉部疼痛半个月,伴低热,CT如图所示,可能诊断为()。
A:咽旁脓肿
B:咽部神经鞘瘤
C:鼻咽血管纤维瘤
D:咽旁淋巴瘤
E:咽旁转移癌
腭垂腭咽成形术的切除范围为()。
A:1/2腭舌弓及腭咽弓黏膜
B:软腭边缘黏膜
C:双侧扁桃体
D:部分腭垂
E:部分舌根
骨性后鼻孔的组成包括()。
A:蝶骨体
B:犁骨后缘
C:翼突内侧板
D:腭骨水平部后缘
E:腭骨垂直部后缘
鼻疖合并海绵窦感染者()。
A:1%白降汞软膏
B:鼻疖切开
C:无菌操作下小吸引器头吸出脓液
D:使用足量的抗生素
E:不用特殊治疗
上呼吸道的三条轴线是()。
A:口轴线
B:咽轴线
C:喉轴线
D:鼻轴线
E:气管轴线
女性,56岁。因不慎摔倒后自觉胸痛、胸闷。体格检查:左肺呼吸音减弱,胸穿抽出不凝血液。胸片:左胸积液征,液面位于肺门。行胸腔闭式引流时,插管应位于左侧()。
A:锁骨中线第2肋间
B:锁骨中线第5肋间
C:腋前线、腋中线间第6~8肋间
D:腋中线、腋后线间第6~8肋间
E:以上都不是
一男性患者,持续左耳流脓10年,检查示左侧35dB下降的传导性耳聋,如图分别为他的鼓膜外观和颞骨CT检查,可诊断为()。
A:慢性化脓性中耳炎单纯型
B:慢性化脓性中耳炎骨疡型
C:慢性化脓性中耳炎胆脂瘤型
D:急性中耳炎
E:以上都不是
副神经支配()。
A:环甲肌
B:声门裂以下喉粘膜
C:声门裂以上喉粘膜
D:多数喉内肌
E:斜方肌
下列哪项指标预测Graves病停用抗甲状腺药物是否易复发()。
A:甲状腺摄
131
I率
B:抗甲状腺抗体
C:TSH
D:T
3
、T
4
及rT
3
E:甲状腺刺激免疫球蛋白
甲状舌管囊肿MRI检查,囊肿呈长T
1
、长T
1
特点,T
1
WI均匀低信号,T
2
WI高信号。()
按眼震方向眼球震颤可分为()。
A:水平性
B:垂直性
C:旋转性
D:对角性
E:水平,旋转性
首页
<上一页
99
100
101
102
103
下一页>
尾页