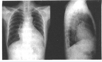
患儿,男,2岁。乏力、多汗,活动后气促1年余。查体:胸骨左缘第2~3肋间可闻及收缩期吹风样杂音。X线胸片如下图所示。

第1题,共3个问题
(多选题)对上图所见描述正确的是()
A:右房增大
B:左房增大
C:右室增大
D:左室增大
E:心腰突出
F:左房左室大
第2题,共3个问题
(单选题)根据上图,最可能的诊断是()
A:室间隔缺损
B:房间隔缺损
C:法洛四联症
D:主动脉导管未闭
E:先天性肺动脉狭窄
F:动脉导管未闭
第3题,共3个问题
(多选题)本病可合并的肺血改变是()
A:肺动脉高压
B:肺充血
C:肺淤血
D:肺血减少
E:肺血正常
F:肺静脉高压